Hrvatska
LIJEČNICI SAVJETUJU CIJEPLJENJE / Sve više oboljelih od atipične upale pluća: Obratite pozornost na ove simptome
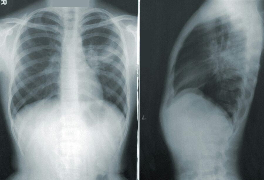
Raste broj slučajeva upale pluća tijekom ljeta. Sve više oboljelih bilježe šibenska Opća bolnica i zagrebačka Klinika za infektivne bolesti dr. Fran Mihaljević. Pogotovo zabrinjava jedna vrsta koju je zbog atipičnih simptoma teže dijagnosticirati.
Neobično za ljeto, povećava se broj pacijenata s upalom pluća.
Pogotovo onih s atipičnom upalom koju uzrokuje bakterija mikoplazma.
“Njezina osobitost je to što se može pojavljivati u bilo koje doba godine i puno je češća u male djece, starije od godine i mlađih odraslih iako nema pravila, može se javiti i kod onih puno mlađih ili puno starijih”, rekao je za Dnevnik.hr zamjenik ravnatelja Klinike Fran Mihaljević Zoran Barušić.
Simptomi
Prvi simptom atipične upale pluća obično je povišena tjelesna temperatura, ne previsoka. Zatim se javljaju suh kašalj, bol u prsima, kratkoća daha, umor, glavobolja. Simptomi su često neobični za upalu pluća. Može doći i do upale mozga, kožnih osipa ili nekog poremećaja svijesti. Prenosi se kapljičnim putem.
“To su uzročnici koji imaju neke simptome koji mogu biti nepovezani s pneumonijom, zato što ti uzročnici uzrokuju simptome sami za sebe. Često pacijenti znaju reći da povraćaju od kašlja što nije tipično za običnu upalu pluća. Tako da svašta se tu zna naći”, objsnio je liječnik Juraj Jug.
Atipična upala pluća krajem prošle godine počela se češće pojavljivati u Aziji i nekim europskim zemljama. U Klinici Fran Mihaljević porast bilježe već nekoliko mjeseci.
“Na sreću prolazi ambulatno, ili kroz naše dnevne bolnice, ali ima onih s težim kliničkim formama bolesti osobito kad govorimo o dječjoj populaciji koji su liječeni bolnički praktički s intenzivnim metodama liječenja u pojedinim situacijama”, rekao je Barišić.
Zašto dolazi do upale pluća?
Porast slučajeva je zamjetan, ali ne i zabrinjavajući, napominju u bolnici. Zašto do upale pluća dolazi i tijekom ljeta, teško je reći.
“Nema tu više nekog posebnog pravila kao što je to bilo prije, ali pitanje je ipak ponašanje ljudi, sad smo mi svi više pod klimom, velike su temperaturne razlike između unutarnjeg i vanjskog prostora, ali povećao se i broj sati boravka u zatvorenom prostoru, s čime povećavamo šansu da ćemo prenijeti neku zaraznu bolest, manje se otvaraju prozori, što bi trebalo raditi što više”, rekao je Jug.
Hrvatski zavod za javno zdravstvo bilježi podjednak broj oboljelih u srpnju i kolovozu kao i proteklih godina.
Liječnici pak savjetuju, jedna se vrsta može spriječiti i to cijepljenjem protiv pneumokoka.
Hrvatska
PROGNOZA / Nedjelja će biti sunčana, ali od utorka stiže velika promjena: Evo što nas čeka diljem zemlje
Nestabilan i vlažan zrak s Atlantika približava se zapadnoj obali Europe i najavljuje promjenu vremenskih prilika na širem području kontinenta. Riječ je o dolini niskog tlaka zraka povezanoj s dubokom ciklonom nad Skandinavijom i Baltikom, koja se proteže preko Danske i Velike Britanije sve do zapadne obale Pirinejskog poluotoka.
Nad Biskajskim zaljevom dodatno se razvija ciklona koja na svojoj prednjoj strani povlači topao i vlažan zrak sa sjevera Afrike i Sredozemlja prema zapadnoj i srednjoj Europi.
Glavnina tog toplog i vlažnog zraka premještat će se prema istoku, i to sjevernije od Alpa, dok će manji dio zaobići Alpe i prodrijeti u Genovski zaljev. Početkom idućeg tjedna nestabilan zrak postupno će zahvatiti i naše krajeve, pa se od utorka očekuje izraženija promjena vremena.
Nedjelja donosi stabilne i ugodne prilike. Bit će pretežno sunčano, uz najviše dnevne temperature između 21 i 26 stupnjeva Celzija, kako u unutrašnjosti tako i na Jadranu. Poslijepodne je u gorskim krajevima moguć slab razvoj dnevne naoblake.
Vjetar će biti slab, u unutrašnjosti sjeverni i sjeveroistočni, dok će na Jadranu prevladavati vjetrovi dnevne cirkulacije, uz pojačan maestral na srednjem i južnom dijelu te u kanalima među otocima. Temperatura mora kreće se između 16 i 18 stupnjeva, a ultravioletni indeks je visok.
U ponedjeljak prijepodne nastavlja se stabilno i sunčano vrijeme. Jutarnje temperature u unutrašnjosti bit će oko četiri stupnja, a na Jadranu oko 12. Međutim, već poslijepodne i u noći na utorak sa zapada stiže promjena.
Naoblačenje će najprije zahvatiti Istru i sjeverni Jadran, a tijekom utorka proširit će se na cijelu zemlju. U zapadnim krajevima unutrašnjosti i na sjevernom Jadranu očekuje se slaba kiša, uz jačanje juga.
Srijeda donosi pretežno oblačno vrijeme s povremenom umjerenom kišom. Na Jadranu i u planinskim krajevima unutrašnjosti mjestimice su mogući i grmljavinski pljuskovi. Jugo će dodatno ojačati, osobito na otvorenom moru srednjeg i južnog Jadrana.
Jutarnje temperature ostat će bez većih promjena, oko šest stupnjeva u unutrašnjosti i oko 12 na Jadranu, dok će dnevne temperature biti u manjem padu, oko 19 u unutrašnjosti i oko 22 stupnja na obali.
Hrvatska
PROGNOZA / Uživajte u sunčanom vikendu jer sredina idućeg tjedna donosi nova pogoršanja vremena
Trenutno se nalazimo pod utjecajem anticiklone koja donosi stabilno i suho vrijeme, uz umjeren do jak sjeverni i sjeveroistočni vjetar. Ciklonalna aktivnost zadržava se nad Baltikom, dok se nad Biskajskim zaljevom razvija ciklona.
Na njezinoj prednjoj strani prema zapadnoj i srednjoj Europi prodire topao i vlažan zrak sa sjevera Afrike i Sredozemlja. Glavnina tog zraka premješta se prema istoku, sjevernije od Alpa, te će početkom i sredinom idućeg tjedna zahvatiti i naše krajeve.
Tijekom dana će prevladavati sunčano vrijeme uz slab razvoj dnevne naoblake. Na Jadranu i uz obalu puše jaka bura, koja će tijekom poslijepodneva okrenuti na jak maestral.
Najviša dnevna temperatura u unutrašnjosti kreće se između 19 i 24 stupnja, dok je na Jadranu oko 22 stupnja. Temperatura mora iznosi od 15 stupnjeva uz obalu do 17 stupnjeva na otocima i otvorenom moru južnog Jadrana. Ultraljubičasti indeks je visok.
U nedjelju se nastavlja stabilno i sunčano vrijeme, uz hladna jutra u unutrašnjosti, gdje će se temperature kretati između tri i pet stupnjeva. U kotlinama gorskih krajeva moguće je i oko nula stupnjeva, uz slab mraz pri tlu. Na Jadranu će jutarnje temperature biti između deset i 15 stupnjeva.
Dnevne temperature u unutrašnjosti bit će za 15 do 20 stupnjeva više od jutarnjih, pa bi se ponegdje mogle popeti i do 26 stupnjeva. Na Jadranu i uz obalu najviša dnevna temperatura bit će oko 23 stupnja, uz maestral, koji će na srednjem i južnom dijelu biti pojačan.
Krajem tjedna očekuje se stabilizacija
Početkom idućeg tjedna očekuje se utjecaj prodora vlažne zračne mase s Atlantika. U ponedjeljak poslijepodne i u noći na utorak sa zapada stiže promjena vremena. Naoblačenje će najprije zahvatiti Istru i sjeverni Jadran, a tijekom utorka proširit će se na cijelu zemlju. Slaba kiša očekuje se u utorak u zapadnim krajevima unutrašnjosti te na sjevernom Jadranu, gdje će zapuhati jugo.
U srijedu će prevladavati pretežno oblačno vrijeme, uz slabu, mjestimice i umjerenu kišu. Na Jadranu i u planinskim krajevima unutrašnjosti mogući su i lokalni grmljavinski pljuskovi.
Na moru će vjetar promijeniti smjer i zapuhat će bura. Jutarnje temperature zraka neće se znatnije mijenjati, u unutrašnjosti će biti oko šest stupnjeva, a na Jadranu oko 12. Najviše dnevne temperature od utorka će biti u manjem padu, pa će se u unutrašnjosti kretati oko 19 stupnjeva, a na Jadranu oko 22.
Krajem tjedna očekuje se stabilizacija vremena uz osjetan porast temperature zraka.
Hrvatska
PROGNOZA / Od anticiklonalne bure do ljetnih temperatura u dva dana
Donosimo vremensku prognozu meteorologa Bojana Lipovšćaka
Hladan zrak polarnog podrijetla prodro je nad naše krajeve te se Panonska nizina, do planinske prepreke Dinarida, napunila hladnim, stabilnim zrakom anticiklone. Hladan zrak prelijeva se preko planinske prepreke na Jadran kao jaka, mjestimice i olujna bura.
Bura povezana s anticiklonom u unutrašnjosti naziva se anticiklonalna bura. Kratak opis anticiklonalne bure iz „Meteorološkog priručnika za nautičare” glasi:
Anticiklonalna bura nastaje pod utjecajem anticiklone s rashlađenog europskog kontinenta. Hladan i suh zrak iz anticiklone prelijeva se preko primorskih planina prema toplijem moru, dok se ciklona nalazi u Mediteranu, južno od Jadranskog mora. Zrak je suh, temperatura niska, tlak zraka visok, a nebo vedro. Samo se na ponekom planinskom vrhu, i to kratkotrajno, može zadržati oblačna kapa. Anticiklonalne bure traju dulje. Razina mora se snižava pa tijekom bure u lukama sjevernog Jadrana, osobito onima s kritičnim dubinama u odnosu na gaz broda, treba biti oprezan. Također je važno da privez brodice bude kratak.
Danas će vrijeme biti sunčano, a na Jadranu vjetrovito uz jaku, na udare i olujnu buru. Najviše dnevne temperature kretat će se od 17 do 22 °C, dok je temperatura mora od 16 do 17 °C.
U subotu i nedjelju nastavlja se sunčano i stabilno vrijeme, uz jutarnji slab mraz u kotlinama unutrašnjosti. Jutarnje temperature u unutrašnjosti, na dva metra visine u meteorološkom zaklonu, bit će od 1 do 4 °C, a na Jadranu oko 9 °C. Najviše dnevne temperature u subotu od 21 do 24 °C, dok će u nedjelju porasti za dva do tri stupnja, pa će maksimum dosezati i 27 °C. Na Jadranu će bura slabjeti i skretati na jak poslijepodnevni maestral.
Analiza vremenske situacije ukazuje na sporo premještanje anticiklone prema istoku kontinenta, dok će oslabljeni prodor vlažnijeg i toplijeg zraka atlantskog podrijetla započeti u prvoj polovici idućeg tjedna uz slabo jugo.
Naoblačenje s kišom očekuje se tek sredinom tjedna.
-
ZADAR / ŽUPANIJA12 sati prijeMORATE U SPIZU? Danas u Zadru rade sljedeće trgovine…
-
magazin4 dana prijeFOTOGALERIJA / Svjetski dan plesa u City Galleriji
-
magazin3 dana prijeSPORTSKI ULAZAK U LJETO / Doživite Maslenica Sunset Run 2026. Prijave su otvorene!
-
ZADAR / ŽUPANIJA3 dana prijeVanja Čvrljak izabran za direktora Turističke zajednice Zadarske županije




